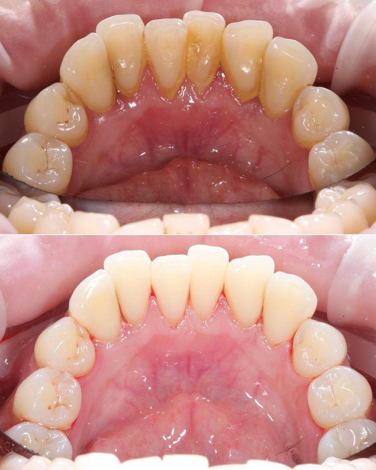
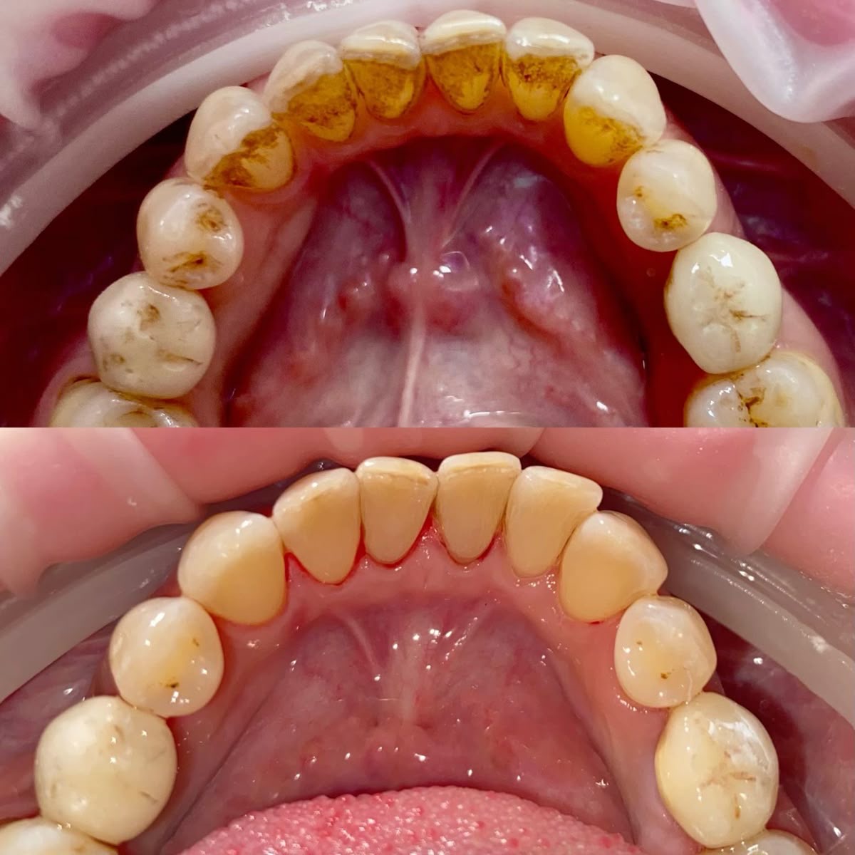
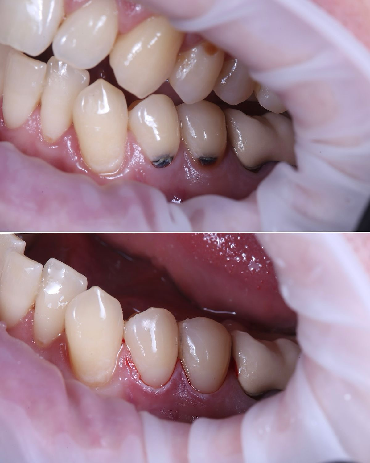
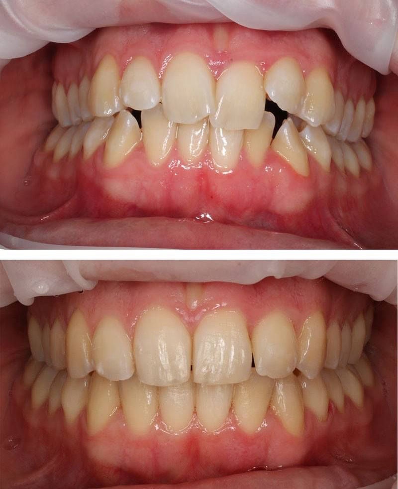
Как исправить кривые зубы: эффективные методы коррекции
Неровные зубы – распространенная проблема, с которой сталкиваются многие. Она влияет не только на эстетику улыбки, но и на здоровье полости рта в целом. К счастью, современная стоматология предлагает надежные…
Читать дальше