Natori

Загрузка

Blog

  • Мар, Вт, 2026
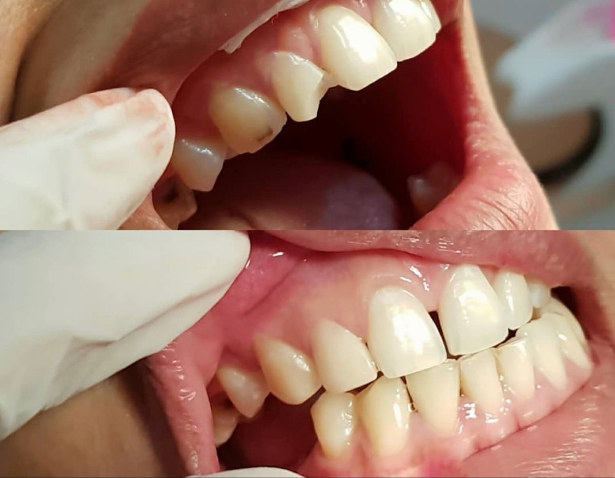
Пломбирование зубов: современные методы и материалы

Здоровые зубы — это не только красивая улыбка, но и залог нормального пищеварения и общего комфорта в жизни. К сожалению, кариес остается самым распространенным заболеванием в мире. Но современная стоматология…

Читать дальше
  • Фев, Чт, 2026
Зачем ставят брекеты? 7 причин исправить прикус

Многие считают брекеты просто способом сделать улыбку красивой. Но на самом деле это медицинская необходимость, которая влияет на здоровье всего организма. Разберем главные причины, почему стоматологи рекомендуют исправлять прикус. 1. Ровные…

Читать дальше
  • Фев, Ср, 2026
Галитоз: почему стоматолог — первый помощник в борьбе за свежее дыхание

Свежесть дыхания — это не просто вопрос личного комфорта, но и важный социальный фактор. Неуверенность в себе, неловкость при близком общении, дистанция с коллегами и близкими — всё это последствия,…

Читать дальше
  • Фев, Пн, 2026
Качественное лечение зубов — комфортно, надежно и на долгие годы

Здоровые зубы — это не только красивая улыбка, но и важная часть общего здоровья организма. В нашей стоматологии мы знаем, как важно доверять своему врачу, поэтому делаем всё, чтобы визит…

Читать дальше
  • Фев, Чт, 2026
Подготовка к установке брекетов: что нужно знать и сделать

Установка брекет-системы — важный шаг на пути к красивой улыбке. Чтобы лечение прошло успешно и без сюрпризов, ротовая полость должна быть полностью здорова. Брекеты фиксируются на несколько лет, и если…

Читать дальше
  • Фев, Вт, 2026
Про отбеливание зубов

Часто задаваемые вопросы Больно ли отбеливать зубы?Нет, процедура проходит комфортно. Вы можете чувствовать легкое тепло во время активации геля, но это не больно. Не испортится ли эмаль?Используемые нами гели содержат…

Читать дальше
  • Фев, Пт, 2026
Зубная нить: зачем она нужна и как правильно ей пользоваться? Полное руководство

Мы привыкли, что чистка зубов = щетка + паста. Но стоматологи не устают повторять: без зубной нити гигиена полости рта неполноценна. В этой статье разберем, почему флосс (второе название нити)…

Читать дальше
  • Фев, Ср, 2026
Современное лечение зубов: без боли, с заботой о будущем

Для многих визит к стоматологу до сих пор ассоциируется со стрессом и дискомфортом. Однако сегодня лечение зубов — это высокотехнологичная, точная и, что самое важное, безболезненная процедура. Цель современной стоматологии…

Читать дальше
  • Фев, Пт, 2026
Реставрация зубов — восстановление красоты и здоровья улыбки

Ищете способ вернуть зубам безупречный вид после скола, трещины или разрушения старых пломб? Современная художественная реставрация зубов — это решение, которое восстанавливает не только эстетику, но и полную функциональность зуба,…

Читать дальше
  • Фев, Вт, 2026
Полное руководство по брекетам: как обрести ровную улыбку

Установка брекет-системы — это не только про эстетику, но и про здоровье. Занимаясь выравниванием прикуса, люди решают целый комплекс проблем: от нарушения дикции и стираемости зубов до болезней ЖКТ и…

Читать дальше
Заказать звонок
+
Жду звонка!