Natori

Загрузка

Blog

  • Апр, Чт, 2026
Брекеты или элайнеры: почему несъемная система чаще приводит к идеальной улыбке?

Когда речь заходит об исправлении прикуса, пациенты хотят найти баланс между эстетикой и результатом. Элайнеры (капы) выглядят современно и почти незаметно, но гарантируют ли они тот же предсказуемый итог, что…

Читать дальше
  • Мар, Вт, 2026
Реставрация (пломба) переднего зуба: эстетика и долговечность

Передние зубы — это лицо вашей улыбки. Даже небольшой скол, трещина или старая потемневшая пломба могут вызывать дискомфорт при общении. Современная стоматология решает эту задачу без коронок и бормашины в…

Читать дальше
  • Мар, Пт, 2026
Лечение брекетами — это не просто «чтобы зубы были ровными», хотя это самая заметная часть. На самом деле, это сложный ортодонтический метод, который решает три главные задачи: здоровье, функцию и эстетику.

Вот просто о том, кому, зачем и почему это нужно. 1. Кому? Брекеты ставят не только детям. В современной ортодонтии возрастных ограничений практически нет. Их носят: 2. Зачем? (Почему это…

Читать дальше
  • Мар, Вт, 2026
Брекеты: от А до Я. Честный разбор без воды

Многие представляют брекеты как что-то страшное: «будет больно», «это некрасиво», «ходить вечность». На самом деле современная ортодонтия давно перестала быть пыткой. Давайте детально разберем, что вас ждет на самом деле.…

Читать дальше
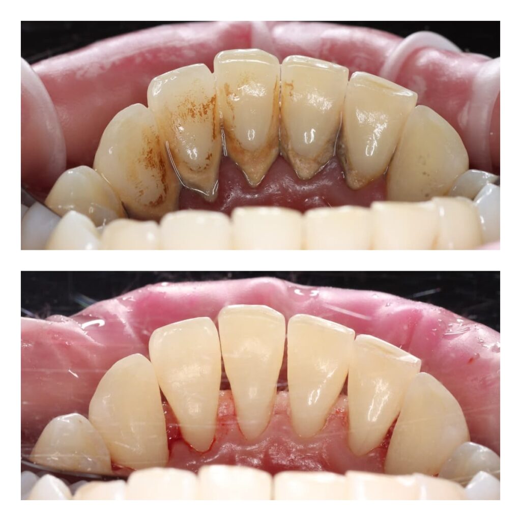
  • Мар, Чт, 2026
5 главных вопросов о зубном камне

Вопрос 1: Больно ли удалять зубной камень?Ответ: При работе с наддесневыми отложениями дискомфорт отсутствует. Если камень глубоко под десной или у пациента чувствительные зубы, мы применяем аппликационную анестезию (гель или спрей),…

Читать дальше
  • Мар, Ср, 2026
Лечение каналов зубов (эндодонтия): Сохраняем зубы без боли

[Вступление]Боитесь фразы «удаление нерва»? Зря! Современная стоматология давно перестала быть синонимом боли и дискомфорта. Лечение корневых каналов (эндодонтическое лечение) — это высокотехнологичная процедура, которая позволяет спасти даже сильно разрушенный зуб…

Читать дальше
  • Мар, Пн, 2026
Белоснежная улыбка: Всё, что нужно знать об отбеливании зубов

Красивая улыбка — это визитная карточка современного человека. Мы хотим выглядеть хорошо на фото, уверенно чувствовать себя на собеседованиях и свиданиях. Однако со временем зубы теряют свою природную белизну. Кофе,…

Читать дальше
  • Мар, Чт, 2026

Зубной камень: причины появления, последствия и методы удаления Красивая улыбка — это не только эстетика, но и показатель здоровья. Однако даже при регулярной чистке зубов многие сталкиваются с проблемой зубного…

Читать дальше
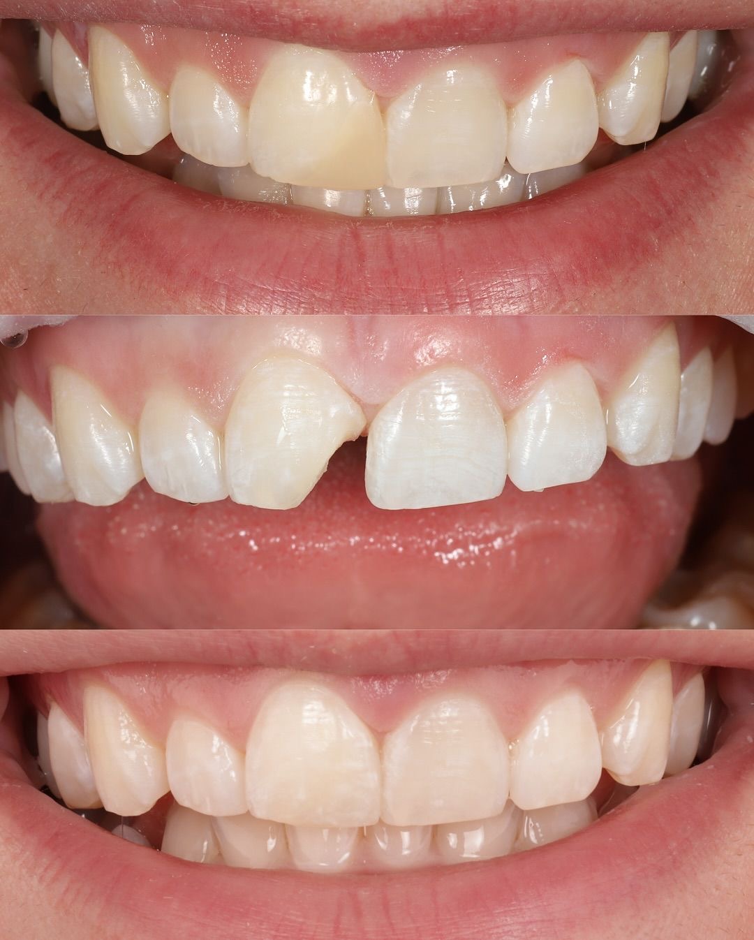
  • Мар, Вт, 2026
Откололся зуб: пошаговая инструкция, что делать

Ситуация знакомая многим: вы чувствуете, что от зуба откололся кусочек. В этот момент важно не растеряться и правильно оказать себе первую помощь. Рассказываем, что нужно сделать сразу, а чего делать…

Читать дальше
  • Мар, Чт, 2026
Брекет-системы: путь к идеальной улыбке

Ровные зубы — это не просто дар природы, а результат грамотной работы ортодонта. Зачем?Чтобы забыть о проблемах с деснами, неправильной нагрузке на зубы и стеснении в общении. Исправленный прикус —…

Читать дальше
Заказать звонок
+
Жду звонка!